본문 바로가기
임신출산

[임신 12주] 1차 기형아 검사 과정 + 연산동 산후조리원 비교

by Real Review Note 2025. 8. 12.

1. 임신 12주, 왜 중요한 시기일까?

임신 12주는 태아가 급격히 성장하고 장기·뼈 형성이 활발히 이루어지는 시기입니다.
특히 임신 11~13주+6일 사이에는 **1차 기형아 검사(Combined Test)**를 통해 다운증후군 등 염색체 이상 가능성을 확인합니다.

 

2. 1차 기형아 검사란?

검사 시기

  • 임신 11주 0일 ~ 13주 6일

검사 방법

  1. 초음파 검사
    • 목덜미 투명대(NT) 측정
    • 코뼈 유무 확인
  2. 혈액 검사
    • PAPP-A, Free β-hCG 수치 확인
  3. 두 검사 결과를 종합해 위험도를 계산

검사 목적

  • 다운증후군(21번 트리소미)
  • 에드워드 증후군(18번)
  • 파타우 증후군(13번) 가능성 평가

💡 Tip

  • 검사 전날 과로·스트레스 피하고, 검사 당일 소변을 참는 편이 자궁·태아 관찰에 유리할 수 있습니다.
  • 결과는 보통 1주 이내 확인 가능하며, 고위험군으로 나오면 **정밀검사(NIPT or 양수검사)**를 권유받을 수 있습니다.

 

3. 태아 주요 측정값 정상범위 (임신 11~13주 기준)

측정항목               정상 범위                                    설명                                         이상 시 고려할 수 있는 가능성
NT(목덜미 투명대) 1.0 ~ 2.5 mm (3.0 mm 이상 시 고위험) 목덜미 피부 아래 투명한 액체층 두께 3.0mm 이상 → 다운증후군, 심장 기형, 림프부종 가능성
코뼈(콧대) 길이 약 2.5 ~ 3.5 mm (±0.5mm) 태아 코뼈 발달 상태 확인 다운증후군의 경우 미발달·불분명
소뇌 길이(TCD) 임신 주수(주) ± 1 mm 소뇌 좌우 폭 길이 측정 뇌 발달 지연, 신경관 결손 가능성
💡 해석 팁
  • NT는 두께가 두꺼울수록, 콧대는 짧거나 안 보일수록 위험도 상승
  • **소뇌 길이(TCD)**는 주수와 거의 비슷하게 나와야 정상 (예: 12주 → 약 12mm ± 1mm)
  • 측정은 초음파 각도·태아 자세에 따라 변동 가능하므로, 한 번의 값만으로 단정하지 않음

 


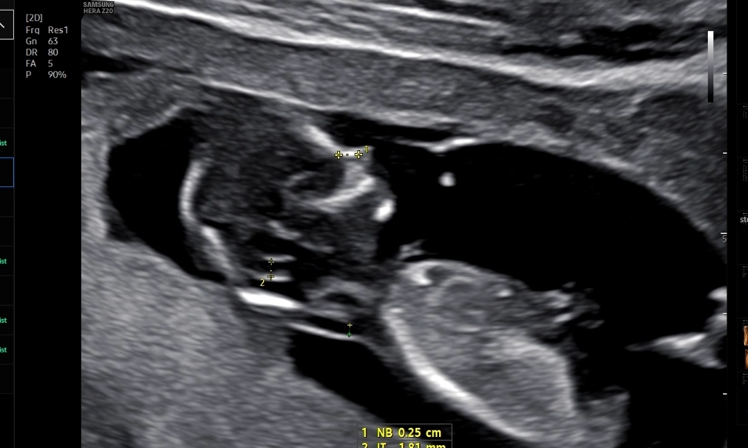
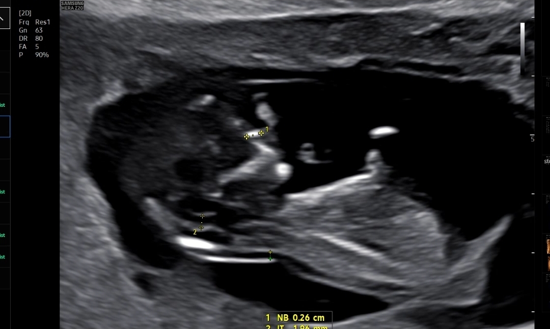
임신 12주 2일 1차 기형아 검사 

 

기형아 검사는 NT(목투명대)를 보는 초음파와 피검사로 시행했고 

먼저 예약된 시간된 시간에 맞춰 NT초음파를 보는 초음파실로 갔다 

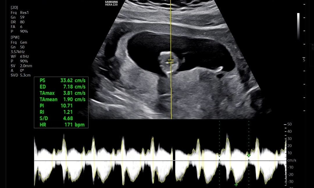
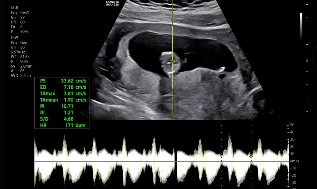
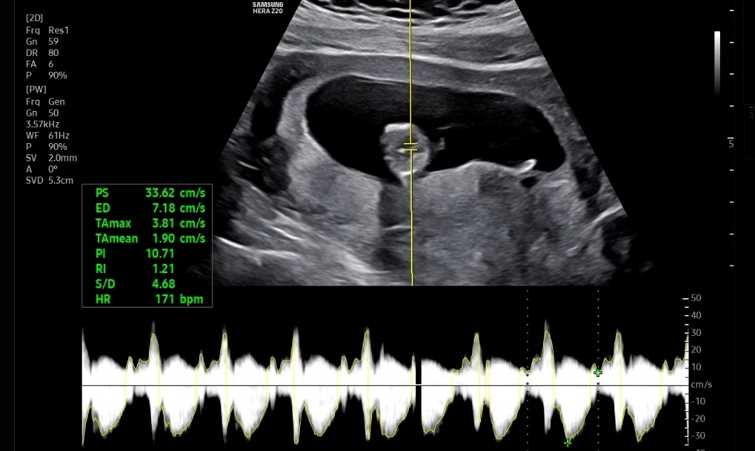
우선 아기크기와 심장소리를 확인했는데 아기크기도 6.26cm, 심장소리도 171bpm으로 잘 뛰고 있었다 

 

 

 

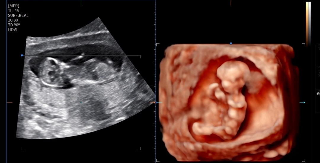
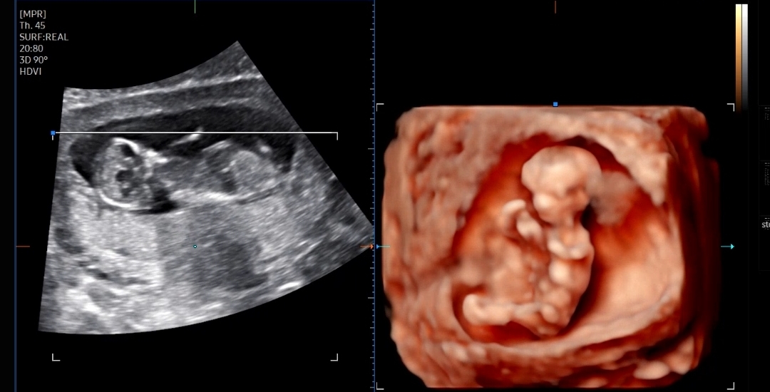
처음으로 그나마 사람같이(?) 보이던 입체 초음파 ㅋㅋ

그동안 입체 초음파는 거의 사람형태가 아니어서 굳이 안 보여주셔도 되는데 싶었는데 

이번에 처음으로 그나마 사람의 형태 비스무리하게 보였다 

 

 

 

 

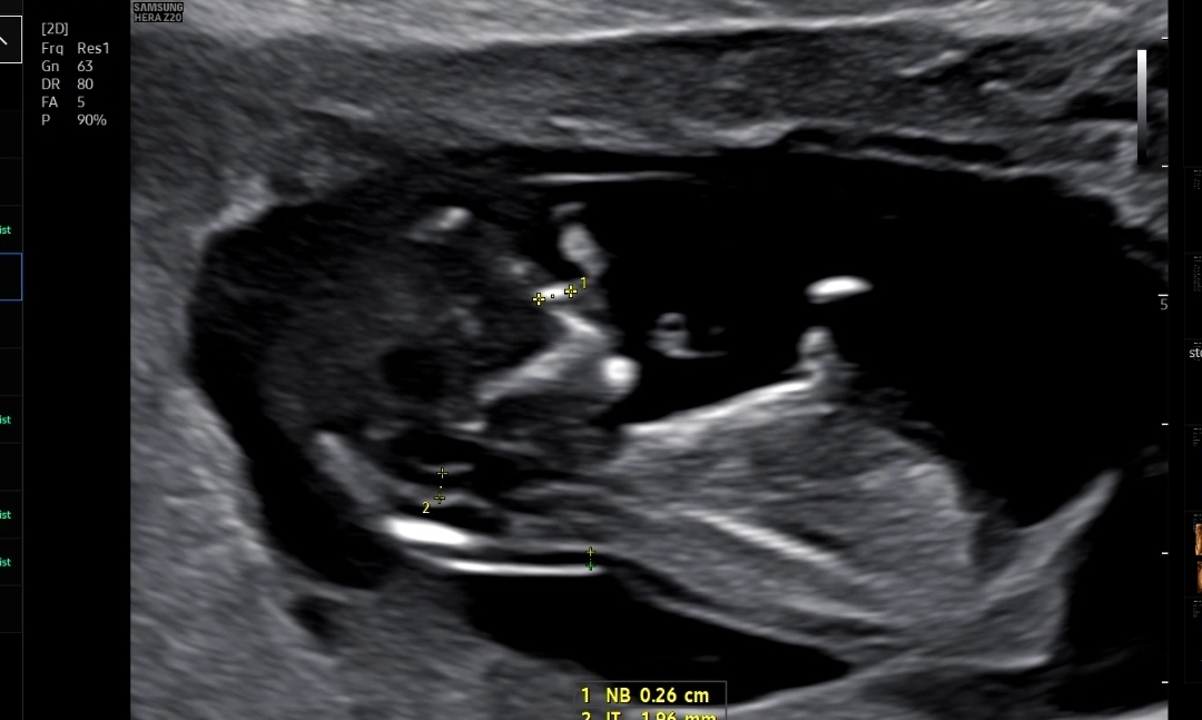
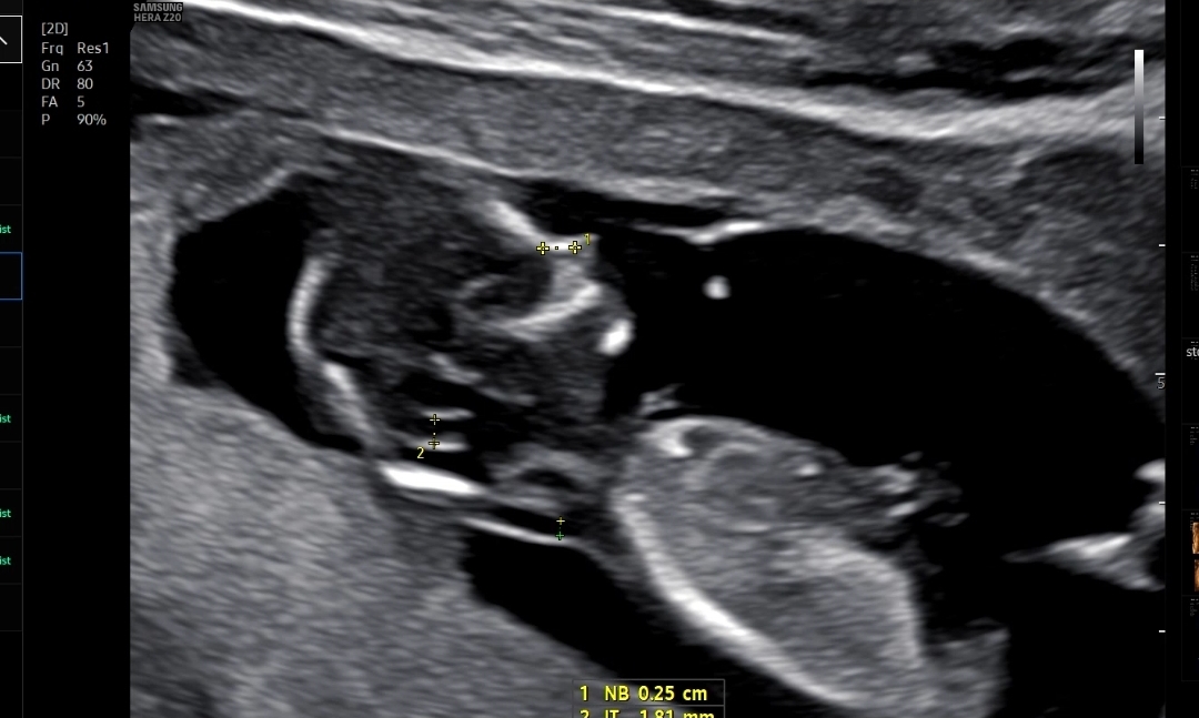
마지막으로 확인한 콧대길이, 소뇌?길이, 목투명대 길이를 쟀다 

처음에 계속 뒤돌아 있어서 기침하고 했는데 약 10분간 애쓰다가 겨우 보여준 콧대

코뼈길이는 0.26cm, 목투명대는 1.31mm 로 둘다 정상범위! 

만약에 코뼈가 낮거나 목투명대가 3mm이상이면 다운증후군 위험이 있다고 했다 

 

초음파 검사를 한 뒤 피검사까지 하고 진료실로 내려가 담당의사쌤을 만났다. 

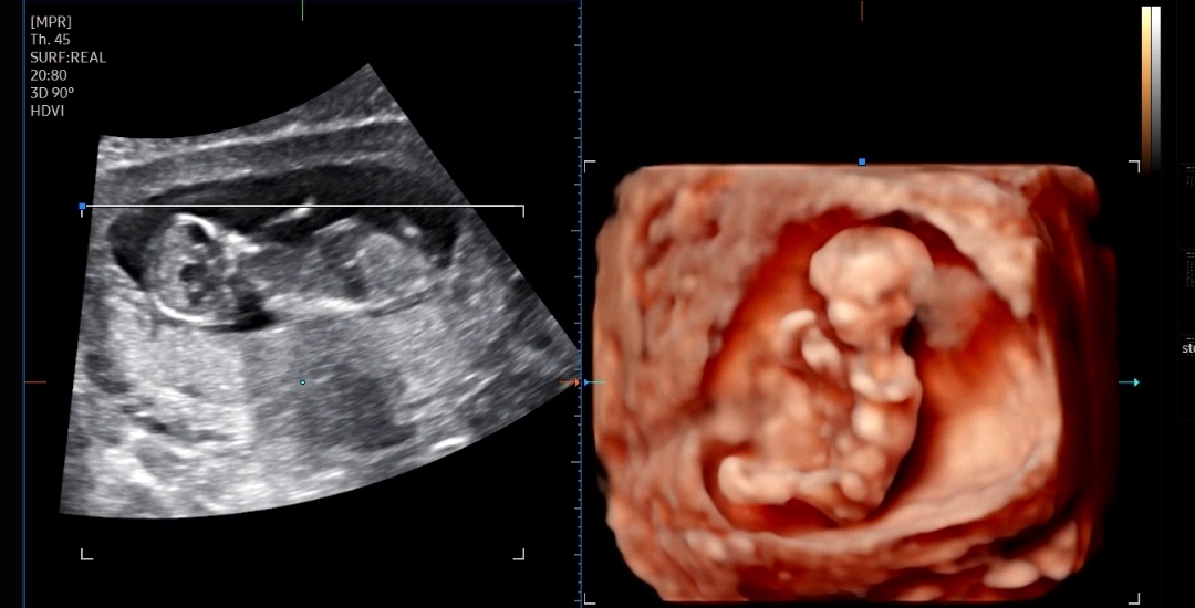
한번 더 초음파실에서 찍었던 초음파를 가지고 설명을 해주셨고 

궁금한거나 물어볼건 없는지 이야기 한 후 이제 12주가 지나서 안정기라고 운동, 스트레칭 등 

조금 자유롭게 해도 된다고 하셨다! 특히 아침저녁으로 스트레칭을 해주는 게 

허리 통증에 도움이 될거라고 하셨다. (안그래도 슬 허리통증이 있던 시점 ㅠ)

 

그리고 8/4 월요일 검사 후 3일뒤에 바로 온 피검사 결과!!

다운증후군 저위험군!! 

이렇게 1차 테스트는 통과한 기분(?) ㅋㅋㅋㅋ 

이제 4주 뒤에나 뽀별이를 보러가는데 처음 이렇게 길게 못 보는 거라 

약간 걱정인형이 될 거 같은 나지만 그래도 안정기에 들어섰다는 안도감으로 

한달 잘 버텨내기를!!


 

그리고 11주차때 남편이랑 같이 진료를 보러 간 김에 산후조리원도 이미 계약했었다 

아래는 내가 직접 맘카페, 블로그마다 돌아보며 작성한 부산 연산동 근처 산후조리원 정리표!!

(25년 6월 기준 최신 블로그 위주로 봤습니다. 다만 사실과 다른 내용도 있을 수 있습니다★)

 

부산 연산동 산후조리원 비교

일반실 기준 연제일신 위대한 탄생 좋은날에 드라마
가격 1 240
2 480
10 360
1 150
2 300
10 225
1 160
2 320
10 235
시설 템퍼배드, 사진인화기 모션베드, 사진인화기 템퍼배드
프로그램 매일 오전, 오후 2 매일 1,2 매일 오전, 오후 2 
보호자 매번 출입시 RSV검사
보호자식 1 1만원
보호자 출퇴근 가능
보호자식 1 8천원
출퇴근 가능?? ( 10 이전)
보호자식 1 9천원
신생아 케어 24시간 베네캠
1:3 신생아케어
소아과 회진
모자동실 매주 목욜
베베캠 오후 2-3
소아과 회진        ┌남편만 가능!
면회 11~12 / 19~20
모자동실 매주 금요일
24시간 모자동실, 면회 가능
산모케어
마사지
2 전신 1 + 얼굴 2 1 하지관리 1+ 유방관리 1
2 전신관리 1
1 유방관리 2+하체관리 1
2 등복부하체 1+유방 2

 

사실 처음 분만병원을 정할때부터 조리원을 보고 정한거였기 때문에 

내가 선택한 곳은 지금 현재 진료를 보고 있는 위대한 탄생 여성병원!

일단 가격도 합리적이고 셋중에 제일 오래된 느낌이지만 그렇다고 낡은 느낌은 아니었고

필요한 시설은 모두 갖춰져있어서 선택했다. 

또 집에서 제일 가깝고 병원이 오래된 만큼 분만경험도 많기 때문에 선택하게 되었다. 

아 제일 중요한 보호자 출퇴근 여부!! 세 병원중에 보호자 출퇴근이 가능했고 시간 제약없이 

보호자 출입이 자유로웠기 때문에 선택하게 된 것도 큰 이유 중 하나 (야근없는 날이 더 희박한 개발자의 삶 ㅠㅠ)

조리원에 2주간 있을 예정인데 혼자서 2주 내내 있을 생각을 하니 벌써 답답해서

무조건 보호자 출퇴근 가능한 곳이 1순위 였기 때문에 !! 

 

 

산후조리원 계약도 하고 1차 기형아 검사도 하고 나니 

뭔가 이제 임신하고 출산이 확 와닿는 기분 ㅎ..ㅎ