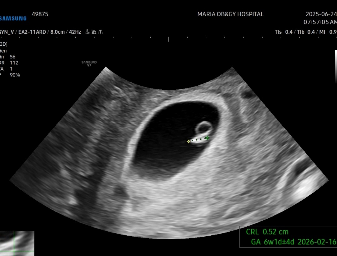
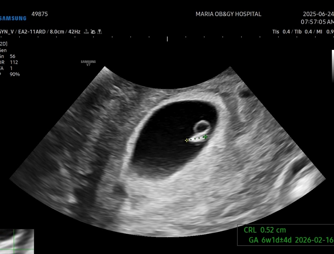
임신 6주 첫 심장소리 확인

아기크기는 0.52cm, 심장소리 118bpm
다음주에 와서 심장소리가 더 빨라졌는지 확인하자고 하셨다
임신 7주 입덧시작, 울렁거림, 현기증

7주 3일에 병원진료 볼때까지는 기름냄새를 맡으면 아주 약간 울렁거리는 정도의 입덧?만 있었는데
7주 6일 아침... 남편은 출근했고 혼자 늦게까지 아침잠을 자다가 돌아눕는데 순간 침대가 무너지나? 싶을정도로
몸이 한쪽으로 쏠리는 느낌이 나서 악! 소리와 함께 침대를 짚었는데
알고보니 현기증으로 내 머리가 핑핑 도는거였다.... 그와 동시에 엄청 조심해서 일어났는데 그 뒤로 시작된
엄청난 울렁거림...메스꺼움.... 도저히 안될거 같아서 진료를 보는 난임병원에 가서 입덧약을 처방받았다
그리고 인터넷에서는 입덧이 심하면 그만큼 아기가 잘 있다는 거라고 하던데
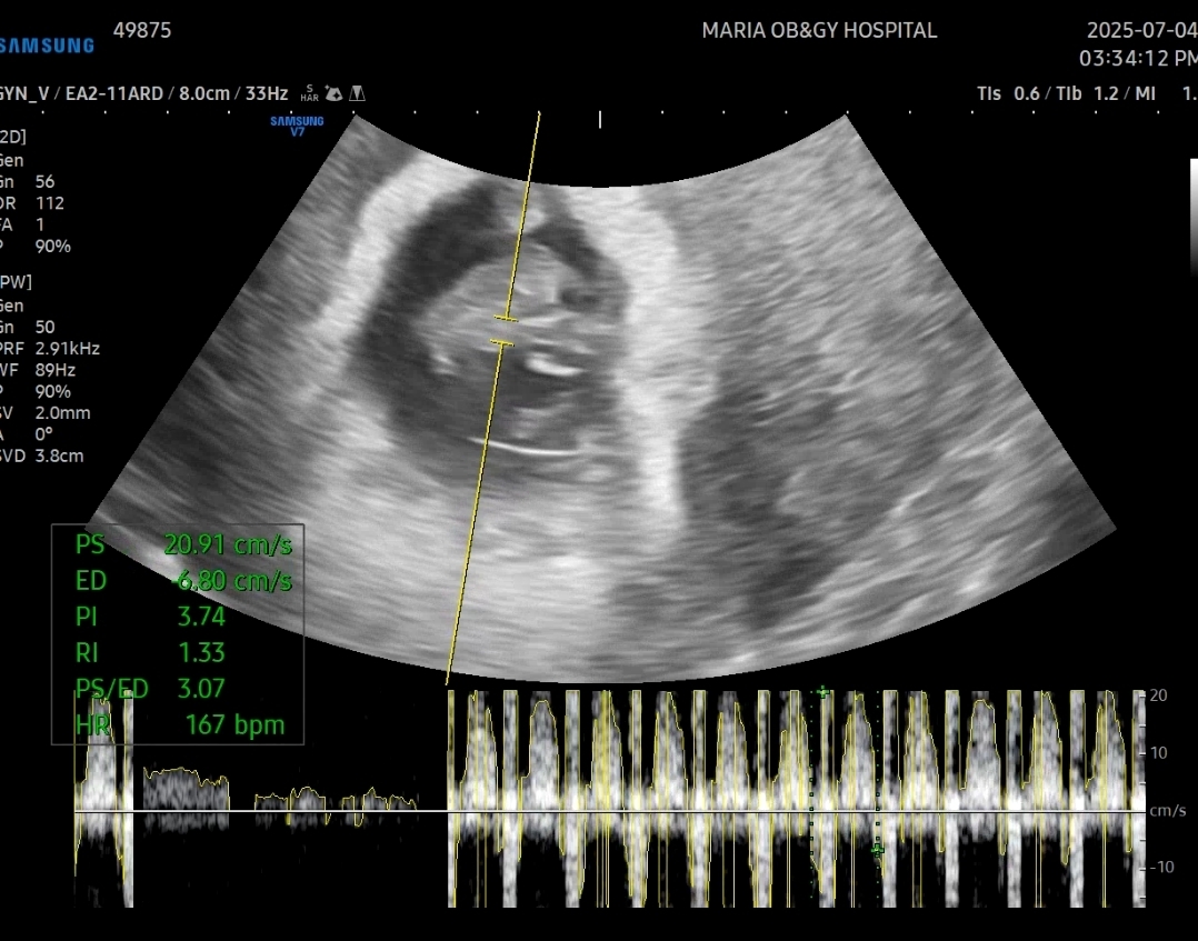
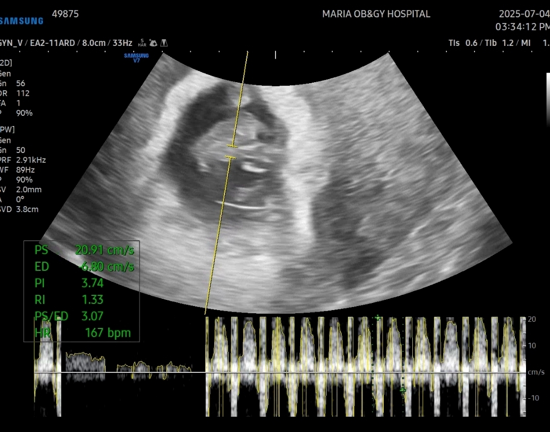
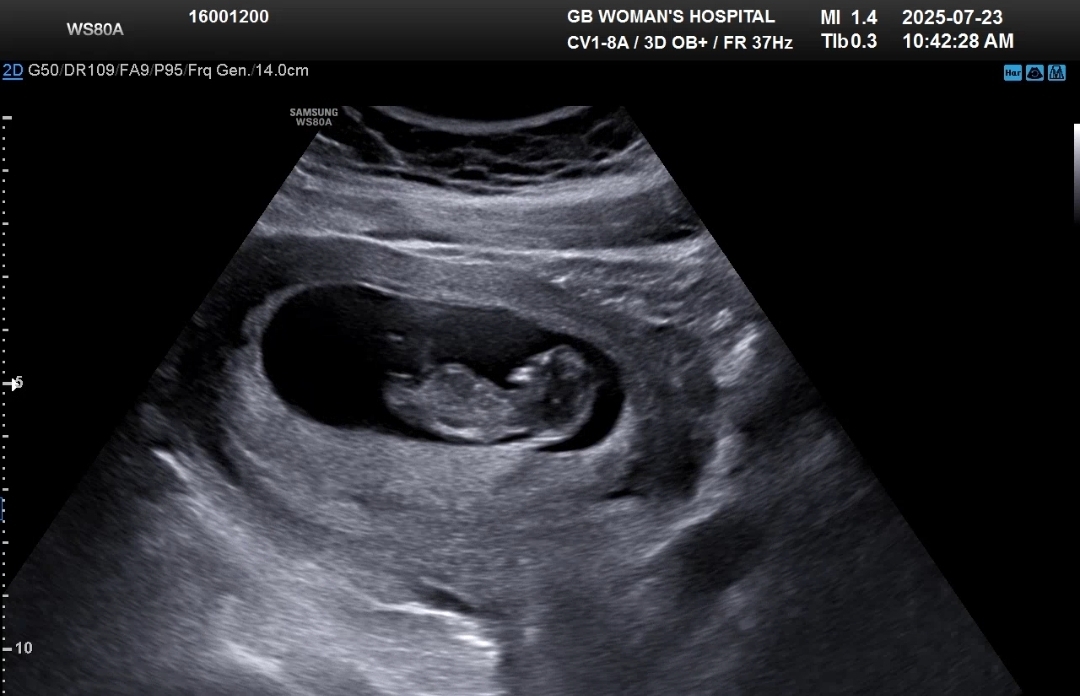
입덧약 받는 김에 본 초음파에서 아기크기는 1.64cm로 실제 8주0일 크기였다 ㅋㅋ 쑥쑥 잘 크고 있군!!
심장소리도 167bpm으로 주수에 맞게 아주 잘 뛰고 있었다!!
(이때 사실 임신초기 계속 있던 가슴통증이 약간 사라진거 같아서 괜히 불안해서 초음파도 보고싶었는데
너무 친절히 증상 말하자 그럼 일단 초음파부터 보고 올까요?라고 해주셔서 좋았던..ㅎ)
원래는 7주 3일 진료 후 8주, 9주에 마지막으로 보고 난임병원을 졸업하기로 했는데 오늘 와서 봐서 그런지
9주차에 마지막으로 한번만 더 보고 졸업하자고 하셨다
그래서 이제 진짜 분만병원(+조리원)을 정해야 할때!!
임신 8주 첫 분만병원 진료 [연산동 위대한탄생 여성병원]

분만병원은 조리원도 같이 생각해야 되서 고민을 많이 했는데 결국 정한 곳은 위대한탄생 여성병원!!
불안핑인 나는 ㅋㅋ 난임병원에서 매주 초음파를 봤기 때문에 저번 7주 6일 초음파를 본 후 9주에 보는게 불안해서
8주 분만병원 -> 9주 난임병원 졸업 -> 10주 분만병원 (분만병원은 초기에 2주마다 보는 걸 알았기 때문에)
이렇게 플랜을 짜고 8주 4일에 분만병원 첫 진료를 봤다
중간에 딱 1번 살짝 분홍빛 피가 비쳐서 걱정이 되었는데 아기도 잘 크고 있고 (드디어 약간의 인간비스무리한 형태가 보임ㅋㅋ)
자궁에 피고임도 전혀없고 다만 경부가 살짝 부어있어서 경부에 있던 피가 살짝 나온거 같다고 하셨다
확실히 조금 더 꼼꼼하게 봐주는 느낌이 있었다
임신 9주 난임병원 졸업, 부산 마리아병원

드디어 난임병원 졸업~~ 그리고 인공수정 시술 당일부터 매일매일 넣던 질정도 졸업 ㅋㅋ
진짜 마지막에 의사쌤이랑 간호사쌤이랑 수고하셨다고 인사하는데 약간 찡했다...
임신 10주 기본 피검사, 1차 기형아검사 예약

여전히 잘 크고 있는 뽀별이! 크기는 4.26cm로 10주 6일 크기! 원래 주수보다 2일정도 크게 잘 크는 중 ㅋㅋ
보건소에서 임신 기초검사를 시행했지만 거기서 빠진 항목을 병원에서 검사 했다
근데 처음 난임병원에서 임신준비를 할때도 TSH 갑상선수치가 높아서 씬지록신을 2-3개월 가량 복용했는데
이번에도 높게 나와서 ㅠㅠ 씬지록신을 다시 복용하기로 했다
큰 문제는 아니지만 태아 뇌발달에 영향을 줄 수 있어서 TSH가 4.0 이상이면 조절해주는게 좋은데
나는 7이 넘는 수치였다 ㅠㅠ
그리고 다음 진료는 2주뒤! 12주에 있는 1차 기형아 검사를 예약하고 왔다

아!! 그리고 이때까지 있는 임신 증상을 간략히 이야기 하면
7주 정말 심각했던 울렁거림+현기증 이후 입덧약을 딱 한번 먹었는데 그 뒤로 심한 입덧은 없어서
한번씩 좀 심하게 울렁거리는 날에만 입덧약을 저녁에 먹고 자고 있다
다만! 원래 엄청 좋아하던 피자, 파스타, 돈까스 같은 약간 느끼한 음식들은 완전 안들어간다..
계속 김치찌개, 아구찜, 동태탕 같은 한식만 땡기는 중 ㅋㅋㅋㅋ (이런 음식들 내 돈주고 사먹은 적 진짜 손에 꼽음..)
그리고 감정기복이 진짜 신기한게.. 어느 날 갑자기 퇴근이 늦는 남편이 보고싶다라는 생각이 들더니
대성통곡을 함 ;;;ㅋㅋㅋㅋ 근데 다 울고나서 현타옴.. 이게 뭔일이지 싶고 (나름 본인 테토녀라고 생각함)ㅋㅋㅋㅋ
또 진짜 위장이 튼튼해서 항상 남편이 부러워 하던 나 였는데 좀만 배부르게 먹었다 싶으면
체한 느낌이 들어서 잠도 안오고 배가 너무너무너무 불편하다 ㅠㅠ 원래는 배부르게도 아니고 배터질때까지 먹는 스타일..ㅎ
진짜 임신으로 이렇게까지 몸상태가 변화할수 있나 싶고 신기하다 ㅎ
그래도 이런 증상들이 다 뽀별이가 잘 자라고 있다는 신호라고 생각하고 참아내면 뭐.. 나름..나름.. 참을만?하다
이 세상 임산부들 + 엄마들 다 너무 대단해요 ㅠㅠ

'임신출산' 카테고리의 다른 글
| [출산준비] 🍼 출산준비물 추천! 코코페 루나 에어 멀티 아기침대 & 오르도 5세대 하이브리드 분유포트 네이버 라이브 득템 후기 (4) | 2025.08.13 |
|---|---|
| [임신 12주] 1차 기형아 검사 과정 + 연산동 산후조리원 비교 (6) | 2025.08.12 |
| 임신 확인 후 받을 수 있는 지원금·혜택 완벽정리 (2025년 최신) (0) | 2025.06.18 |
| "2차 인공수정 성공기: 임테기 선 진하기 비교와 임신 극초기(3,4,5주) 증상 기록" (1) | 2025.06.18 |
| [다낭성 난소증후군 임신 준비⑧] 부산 마리아 병원 두 번째 인공수정 시술 후기 – 과배란 주사 매일 맞은 경험 (폴리트롭, IVF -M HP, 오비드렐) (0) | 2025.05.22 |